“The moment when everything was worth it”

Never Too Young / Too Old To Improve Your Smile

Total Oral Rehabilitation - Case Studies

Smile Designing

Image Image

Correction of “Peg “lateral teeth with Laminates.

Image Image

Correction of fractured Central Incisors with Nano Filled Composites.

Image Image

Full closure of Mid line Diastema with Veneers.

Image Image

Partial closure of Mid line Diastema as the patient wanted a Natural Look.

Image Image

Full Veneers on Upper and Lower Anterior teeth.

Dentures

Image Image

Lower teeth lost after accident. Replaced with New Generation Flexible Partial Dentures

Image Image

Edentulous case for the past 25yrs.Rehabilitation done with BPS Complete Denture.

Image Image

8 yr old patient lost his Permanent Central following a fall. Replaced with Single tooth immediate Prosthesis.

Image Image

Patients with Invisible Upper Lip and 'Negative Smile ' due to Early loss of teeth.
Corrected with Full Prosthesis, giving the patients A Confident Smile.

Image Image

Patients with Invisible Upper Lip and 'Negative Smile ' due to Early loss of teeth.
Corrected with Full Prosthesis, giving the patients A Confident Smile.

Image Image

Patients with Invisible Upper Lip and 'Negative Smile ' due to Early loss of teeth.
Corrected with Full Prosthesis, giving the patients A Confident Smile.

Patients with Invisible Upper Lip and 'Negative Smile ' due to Early loss of teeth.
Corrected with Full Prosthesis, giving the patients A Confident Smile.

Image Image

Patient's Original Smile recreated from his OLD PHOTOGRAPHS.

Image Image

Rehabilitation of a patient with Complete Denture who presented with facial palsy following a Stroke.

Root Canals, Bridges & Crowns

Image Image

Missing Central Incisors replaced with Fixed Ceramic Bridge.

Image Image

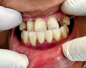
Severe Class III Profile with Severe Deep Bite corrected with Porcelain Fused Ceramic Bridges.

Image Image

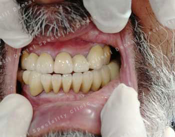
Partially Edentulous case corrected with Implant Supported Prosthesis.

Image Image

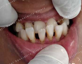
Severe loss of bone and Spacing correction of lower teeth done by Flap Surgery followed by Bridges.

Image Image

Old Fractured Prosthesis removed and corrected with Zirconia Metal free Upper and Lower Bridges.

Image Image

Correction of Proclined Anterior teeth done. RCT and Bridges completed and delivered in just ' TWO APPOINTMENTS'.

Book an Appointment at KDSC

Stay Safe. Stay Healthy and Love your Teeth.

WhatsApp chat